Lunes a Jueves: 9:00 - 14:00 y 15:00 - 20:00 | Viernes: 9:00 - 15:00
CENTRO DE REFERENCIA INTERNACIONAL

Clínica Dental de Referencia en Viladecans

Clínica dental en Viladecans con más de 15 años de experiencia internacional en implantología y estética dental. Los doctores Xavier Vela y Maribel Segalà dirigen nuestro equipo de especialistas.

Pioneros en la técnica BOPT en España y co-fundadores del BORG Center Barcelona. Especialistas en implantes dentales en Viladecans, ortodoncia invisible, estética dental, prótesis sobre implantes, periodoncia, odontopediatría y cirugía oral. Tratamientos personalizados con calidad y servicio de excelencia.

15+
Años de Experiencia
4.9/5
Valoración Pacientes
100%
Garantía Tratamientos

Tratamientos Dentales en Viladecans

Especialistas en cada área de la odontología con tecnología avanzada y primera visita gratuita. Tratamientos personalizados para toda la familia.

Icono de dienteIcono de diente blanco

Implantes Dentales

Recupera tu sonrisa con implantes dentales de última generación en Viladecans. Más de 25 años de experiencia en implantología dental. Especialistas en implantes inmediatos y carga inmediata. Solución definitiva para reemplazar dientes perdidos con resultados naturales y duraderos. Pioneros en técnica BOPT.

Ortodoncia Invisible

Alinea tus dientes de forma discreta con ortodoncia invisible en Viladecans. Sistema Invisalign certificado. Ortodoncistas especializados con certificación internacional. Corrige la posición de tus dientes sin brackets metálicos. Resultados visibles desde el primer mes de tratamiento. También ortodoncia convencional para todas las edades.

Estética Dental

Mejora tu sonrisa con tratamientos de estética dental en Viladecans. Carillas dentales de porcelana, diseño de sonrisa digital DSD y reconstrucciones estéticas con composite. Especialistas en rehabilitaciones estéticas complejas. Transforma tu sonrisa con técnicas avanzadas y materiales de alta calidad certificados.

Blanqueamiento Dental

Consigue una sonrisa más blanca y brillante con blanqueamiento dental profesional en Viladecans. Tratamiento en clínica con lámparas LED de última generación. Seguro y efectivo. Resultados inmediatos que duran años. Elimina manchas y decoloración dental. También blanqueamiento ambulatorio personalizado.

Odontopediatría

Cuidado dental especializado para niños y bebés en Viladecans. Odontopediatra titulado con experiencia en tratamiento de bebés, niños y adolescentes. Ambiente adaptado y técnicas específicas para los más pequeños. Creamos experiencias positivas para que tus hijos cuiden su salud dental desde pequeños. Prevención de caries infantil.

Periodoncia

Tratamiento de encías y periodoncia en Viladecans. Periodoncista especializado en prevención y tratamiento de enfermedades periodontales como gingivitis, periodontitis y piorrea. Salva tus dientes con limpieza profunda, raspado, alisado radicular y regeneración de tejidos. Cirugía periodontal mínimamente invasiva.

Doctores de Referencia Internacional

Los doctores Xavier Vela y Maribel Segalà dirigen nuestra clínica con más de 15 años de experiencia. Pioneros en técnica BOPT y fundadores del BORG Center Barcelona.

Dr. Xavier Vela - Dentista Viladecans

Dr. Xavier Vela

Co-director de Vela-Segalà Viladecans

Co-fundador de BORG Center Barcelona

Especialista en rehabilitaciones estéticas y prótesis sobre implantes. Pionero en la técnica BOPT en España y ponente internacional en congresos de odontología.

Implantología Avanzada
Estética Dental
Dra. Maribel Segalà - Dentista Viladecans

Dra. Maribel Segalà

Co-directora de Vela-Segalà Viladecans

Co-fundadora de BORG Center Barcelona

Especialista en prostodoncia, estética dental y medicina estética facial. Autora de artículos científicos en colaboración con universidades internacionales.

Prostodoncia
Estética Dental
Medicina Estética Facial

¿Por Qué Elegirnos?

Clínica dental de referencia en Viladecans con más de 15 años cuidando de la salud bucodental de familias en la zona.

Más de 15 Años de Experiencia en Viladecans

Equipo de dentistas especializados con amplia trayectoria profesional en Viladecans y Barcelona. Formación continua en las últimas técnicas de odontología avanzada. Miles de pacientes satisfechos que confían en nuestra clínica dental para el cuidado de su salud bucodental.

Tecnología Dental de Última Generación

Equipamiento de vanguardia incluyendo escáner intraoral 3D, radiografía digital, microscopio dental y tecnología CAD/CAM para tratamientos más precisos, rápidos y cómodos. Invertimos constantemente en tecnología para ofrecer los mejores resultados a nuestros pacientes de Viladecans.

Primera Visita Dental Gratuita

Ofrecemos una primera visita completamente gratuita que incluye exploración completa, diagnóstico profesional y presupuesto detallado sin compromiso. Queremos que conozcas el estado de tu salud dental antes de tomar cualquier decisión sobre tu tratamiento.

CASOS REALES

Resultados Reales de Nuestros Pacientes

Casos reales tratados en nuestra clínica dental de Viladecans. Desliza el control para ver el antes y el después de cada tratamiento.

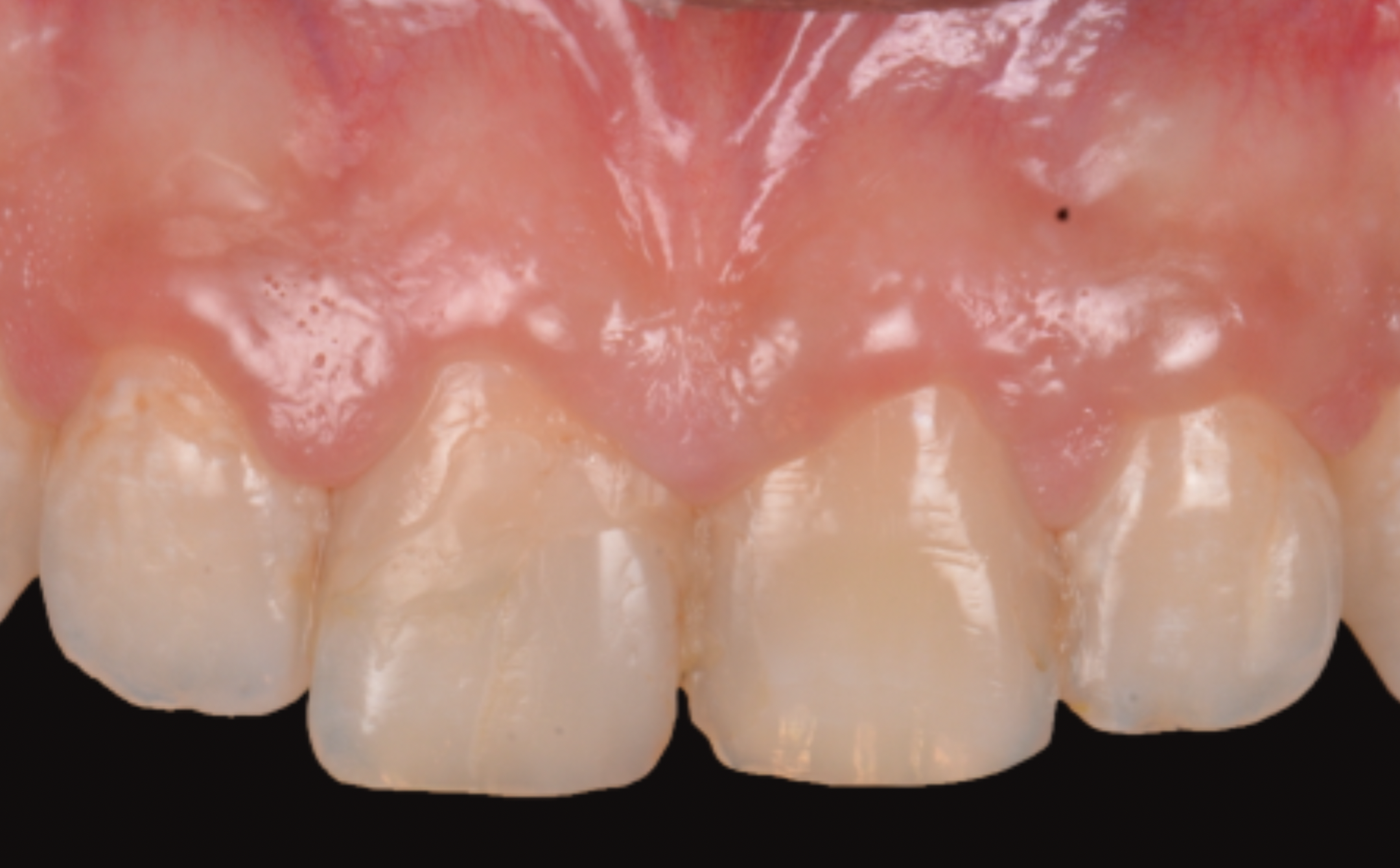
Caso 1: Carillas Dentales

Rehabilitación completa con carillas de porcelana. Transformación total de la sonrisa con resultados naturales.

DESPUÉS
DESPUÉS
ANTES
ANTES

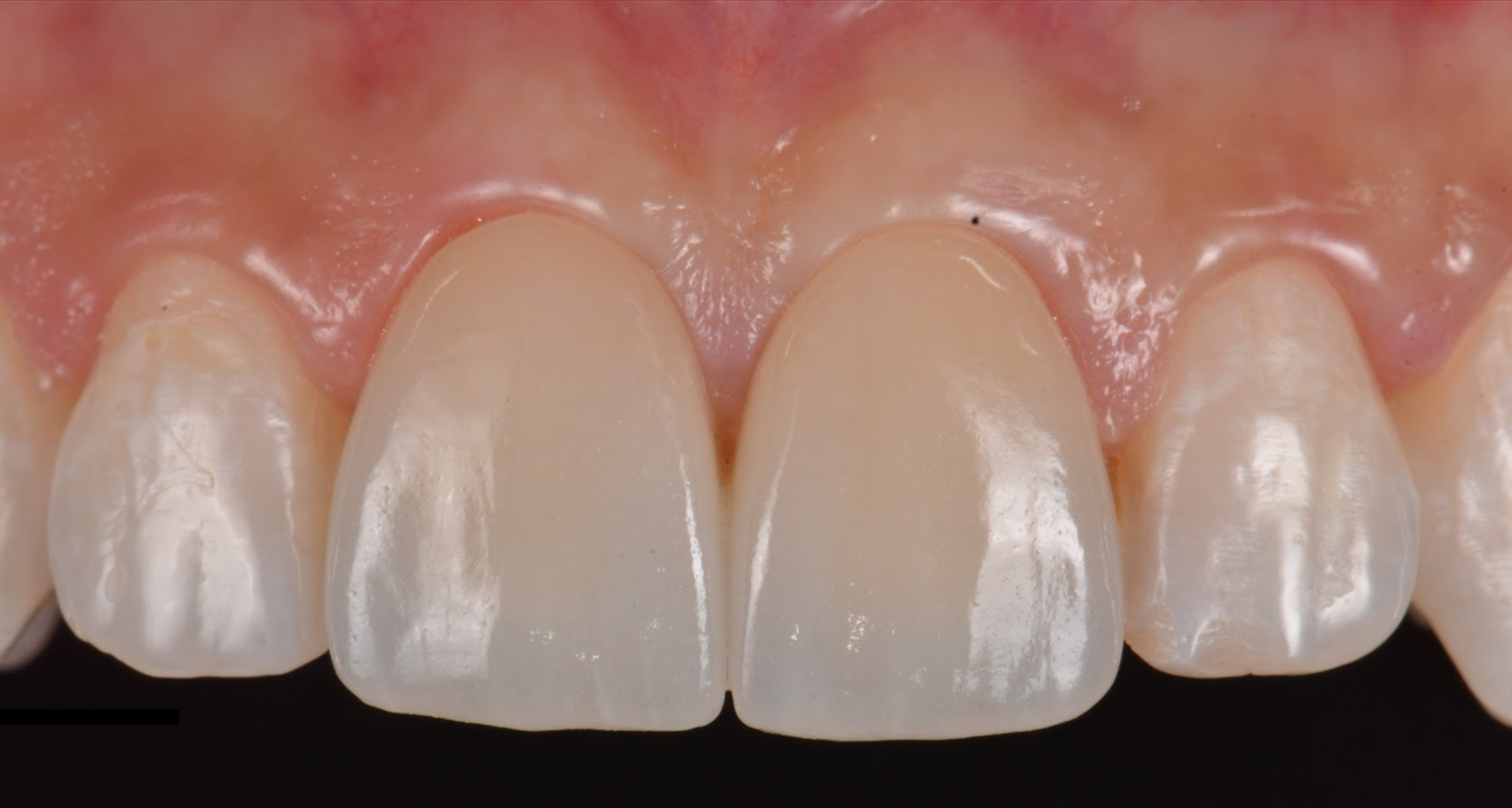
Caso 2: Sonrisa Gingival

Corrección de sonrisa gingival con estética periodontal. Mejora de proporciones y armonía dental.

DESPUÉS
DESPUÉS
ANTES
ANTES

Mostrando casos 1-2 de 6

Opiniones de Nuestros Pacientes

Lo que dicen nuestros pacientes de Viladecans sobre nuestra clínica dental

5
Basado en 156 reseñas de Google
Reseñas de Google
María García López
María García López
Hace 2 semanas

Excelente atención y profesionalidad. Los doctores Xavier y Maribel son muy cercanos y explican todo detalladamente. Me hicieron un implante dental y el resultado es perfecto. Las instalaciones son modernas y limpias. Muy recomendable la clínica.

Publicado en Google
Carlos Rodríguez Martín
Carlos Rodríguez Martín
Hace 1 mes

La mejor clínica dental de Viladecans sin duda. Llevo años viniendo y siempre salgo contento. El trato es excepcional y se nota la experiencia de los doctores. La Dra. Maribel es una crack con los niños, mi hijo está encantado.

Publicado en Google
Ana Martínez Sánchez
Ana Martínez Sánchez
Hace 3 semanas

Me hicieron ortodoncia invisible Invisalign y estoy encantada con el resultado. Todo el proceso fue muy profesional, el seguimiento impecable y los resultados superaron mis expectativas. Totalmente satisfecha con el servicio.

Publicado en Google
Juan López Fernández
Juan López Fernández
Hace 1 semana

Fui por una urgencia dental con mucho dolor y me atendieron el mismo día. El Dr. Vela solucionó mi problema rápidamente y con mucha profesionalidad. Personal muy atento. La clínica está muy bien equipada. 100% recomendable.

Publicado en Google
Laura Fernández Ruiz
Laura Fernández Ruiz
Hace 2 meses

Clínica dental de 10. Me hicieron un blanqueamiento dental y quedé muy satisfecha con el resultado natural que conseguí. El trato es muy cercano y familiar. Se nota la dedicación y el cariño que ponen en su trabajo. Volveré sin duda.

Publicado en Google
Pedro Sánchez Gómez
Pedro Sánchez Gómez
Hace 3 semanas

Muy profesionales y con tecnología de última generación. Me pusieron carillas dentales y el resultado es increíble, mi sonrisa cambió por completo. La atención personalizada y el seguimiento post-tratamiento es lo que más valoro de esta clínica.

Publicado en Google
Isabel Torres Moreno
Isabel Torres Moreno
Hace 1 mes

Llevo 10 años viniendo a esta clínica y nunca me han defraudado. Los doctores Vela y Segalà son excelentes profesionales. Trato humano excepcional, instalaciones impecables y resultados de primera calidad. Gracias por cuidar tan bien de mi salud dental.

Publicado en Google
Miguel Ángel Romero
Miguel Ángel Romero
Hace 2 semanas

Primera visita gratuita y sin compromiso. Me explicaron todo el tratamiento con mucha claridad y paciencia. Precios justos y facilidades de pago. Me hicieron un tratamiento de periodoncia y quedé muy contento. Clínica seria y profesional.

Publicado en Google

Cargando artículos...

Pide tu Cita en Viladecans

Primera visita gratuita con diagnóstico completo y presupuesto sin compromiso.

Primera Visita Gratuita
Financiación Sin Intereses
Cita en 24-48h